
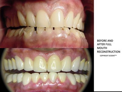
When extensive dental breakdown compromises your ability to chew, speak, or smile confidently, SCIdent's full mouth rehabilitation program provides comprehensive restoration. Our holistic approach addresses functional deficits, aesthetic concerns, and long-term oral health through carefully coordinated treatment that transforms your entire oral system.
Holistic Treatment Approach
Preserving Viable Teeth Whenever possible, we employ advanced restorative techniques to save teeth that can contribute to your long-term oral health. Root canal therapy, crown lengthening, and periodontal treatment may be integrated to maximize tooth preservation.
Strategic Replacement Planning Teeth that cannot be reliably restored are replaced using the most appropriate method—whether through implant-supported crowns, bridges, or removable prosthetics—based on your specific anatomy and functional needs.
Bite Reconstruction Proper bite relationships are fundamental to long-term success. We carefully reestablish optimal vertical dimension and jaw relationships to ensure comfortable function and prevent future breakdown.
Functional Analysis We begin with detailed analysis of your bite relationships, jaw function, and chewing patterns to understand how dental breakdown has affected your oral system's ability to function properly.
Aesthetic Evaluation Beyond function, we assess smile aesthetics, facial support, and lip relationships to ensure that your rehabilitation enhances your overall facial appearance and confidence.
Structural Assessment Comprehensive evaluation of remaining teeth, bone structure, and supporting tissues guides our decision-making about which teeth can be preserved and which require replacement.
Preserving Viable Teeth Whenever possible, we employ advanced restorative techniques to save teeth that can contribute to your long-term oral health. Root canal therapy, crown lengthening, and periodontal treatment may be integrated to maximize tooth preservation.
Strategic Replacement Planning Teeth that cannot be reliably restored are replaced using the most appropriate method—whether through implant-supported crowns, bridges, or removable prosthetics—based on your specific anatomy and functional needs.
Bite Reconstruction Proper bite relationships are fundamental to long-term success. We carefully reestablish optimal vertical dimension and jaw relationships to ensure comfortable function and prevent future breakdown.
Restored Chewing Function
Enhanced Speech Clarity
Improved Facial Aesthetics
Long-term Oral Health
Increased Life Expectancy of Restorations
Decades of Experience Dr. Salvi's extensive background in complex restorative cases ensures that even the most challenging rehabilitations are managed with confidence and expertise.
Coordinated Specialties Our ability to provide periodontal care, endodontic treatment, oral surgery, and prosthetic restoration under one roof ensures seamless treatment coordination.
Patient-Centered Planning Every rehabilitation plan is tailored to your lifestyle, budget, and treatment preferences, ensuring that the process and outcomes align with your personal goals.
Have a question or need to schedule an appointment? Contact us today and our friendly staff will be happy to assist you.
We use cookies to analyze website traffic and optimize your website experience. By accepting our use of cookies, your data will be aggregated with all other user data.