
Comprehensive Evaluation & Planning Every treatment begins with a thorough assessment using our advanced diagnostic tools. We analyze bone density, tissue health, and aesthetic requirements to create a personalized treatment roadmap that ensures optimal long-term outcomes. offer a full range of dental services for the whole family, including routine checkups, teeth cleaning, fillings, extractions, and more. Our goal is to help you maintain a healthy and beautiful smile.
Our state-of-the-art 3Shape scanner and comprehensive imaging systems create precise digital models of your oral anatomy. This allows us to plan implant placement with millimeter accuracy, reducing treatment time and enhancing predictability.

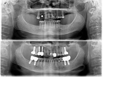
Complex cases benefit from our carefully orchestrated staging protocol. We prioritize healing, integration, and optimal prosthetic outcomes through a methodical approach that has been refined over thousands of cases.

When possible, we employ advanced minimally invasive protocols that reduce surgical trauma, accelerate healing, and improve patient comfort. Our techniques often eliminate the need for extensive incisions or prolonged recovery periods.
Our premium zirconia crowns and bridges offer superior aesthetics and unmatched durability. These biocompatible restorations resist staining, wear, and fracture while maintaining a natural appearance that complements your smile.
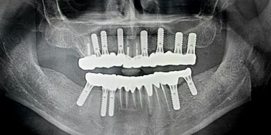
Screw-Retained Retrievable Prosthetics For maximum longevity and maintenance ease, we specialize in screw-retained prosthetic solutions. These allow for future adjustments, professional cleaning, and component replacement without compromising the implant foundation.
High-end implant treatments represent a long-term investment in your health, confidence, and quality of life. Our premium approach ensures that your investment delivers maximum value through superior outcomes and exceptional longevity.
Have a question or need to schedule an appointment? Contact us today and our friendly staff will be happy to assist you.
We use cookies to analyze website traffic and optimize your website experience. By accepting our use of cookies, your data will be aggregated with all other user data.